Skip to content
Westwood Dentist, Dr. Philip Aurbach - Old Hook Dental
  • Welcome
    • Meet the staff
    • Take a tour of the office
    • Our mission & vision
    • VIPatient
  • Our Services
    • General Dentistry
      • Comprehensive Exams
      • Dental Hygiene and Cleanings
      • Gum Disease Therapy – Periodontal
      • Root Canal Therapy – Endodontic
      • Oral Surgery
      • Pediatric Dentistry
      • TMD – Temporomandibular Disorder – (TMJ Pain)
      • Emergency Treatment
    • Cosmetic Dentistry
      • Dental Veneers
      • Dental Bonding
      • Teeth Whitening
      • Smile Rejuvenation
      • Smile Restoration
      • Snap-On Smile
      • ClearCorrect
    • Restorative Dentistry
      • Fillings – Tooth colored composites
      • Crowns, Inlays & Onlays
      • Bridges
      • Dentures
      • Implants
      • Bone Grafting
    • Dental Laser Treatment
      • Cold Sore & Canker Sore Treatment
      • General Laser Treatments
    • Other Dentistry
      • Guards : Sports / Night / Snore
      • Tooth Gems
  • Patient Information
    • Patient Forms
    • Financial Information
    • Disability Access
    • Post Procedure Care
      • Denture care
      • Extraction care
      • Root Canal care
      • Implant care
      • Bone Graft care
    • Smile Gallery
      • Case #1 – 9 Unit Bridge
      • Case #2 – Veneers and Zirconia Bridge
      • Case # 3 – All Porcelain Crowns
      • Case # 4 – Partial Denture, Implant and Crowns
      • Case # 5 – Veneers and Crowns
      • Case # 6 Implants, Bridges and Crowns
      • Case #7 – Full Arch 6 Implant Restoration
    • Patient Testimonials
  • News & Updates
  • Book an Appointment
  • Contact Us
  • Menu

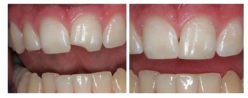
Composite repair

Posted on September 7, 2016January 14, 2017 by Old Hook Dental
← Previous
Westwood Dentist, Dentist Westwood, Dr. Philip Aurbach, Old hook Dental
A SiteOrigin Theme